Diş Estetiği
16.02.2021
16.02.2021
Diş Estetiği
16.02.2021
16.02.2021
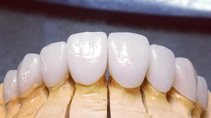
ESTETİK KAPLAMALAR
LAMİNA

Lamina son yıllarda estetik amaçlı sıkça kullanılmaya başlayan bir tedavi şeklidir. Lamina kaplama, dişin sadece dış yüzeyine yapıştırılan çok ince yapıdaki porselendir. Diğer kaplama türlerinden farkı, dişin çok az aşındırılması ya da kimi durumlarda hiç aşındırılmadan yapılabilmesidir. Ölçü alınıp laboratuarda hazırlanır ve hassas yöntemlerle dişe yapıştırılırlar.
Lamina Hangi Durumda Uygulanır?
- Herhangi sebeple ön dişlerinin görünümünden memnun olmayan kişilerde
- Ön dişlerdeki hafif çapraşıklık durumlarının düzeltilmesinde
- Dişler arasındaki aralıkların kapatılmasında
- Beyazlatma işlemlerinin başarılı olmadığı veya kalıcı sonuç alınamadığı dişlerde
- Estetik açıdan kötü görünüme neden olan aşınmış dişlerde
Lamina Hangi Durumda Uygulanmaz?
- Diş çapraşıklığı ileri düzeydeyse uygulanamaz
- Lamine uygulanamadığı durumlarda ön dişler açısından en iyi estetik alternatif tam porselen kaplamalardır.
Laminalar Çabuk Kırılır mı?
Hayır doğru yapıştırıldığında dayanıklıdırlar.
E.MAX PORSELEN DİŞ

Maximum estetik anlamına gelmektedir. En iyi porselen kaplama denebilir.
Emax Porselen Hangi Durumda Uygulanır?
Estetik kaplamalarda en çok tercih edilen emax yöntemi, çoğunlukla ön kesici dişlere ve küçük azı dişlere uygulanır. Estetik amaçlı olarak dişlerin renk, form veya dizilişini düzeltme amaçlı uygulanır. Dişler belli oranda küçültülerek ölçüleri alınıp laboratuvarda hazırlanarak dişler üzerine hassas yöntemlerle yapıştırılır. Emax kaplamaların ışık geçirgenlikleri zirkonyum kaplamalara göre daha fazladır. Bu nedenle Emax uygulanan durumlarda daha doğal ve estetik bir görüntü elde edilir.
Emax Porselen Hangi Durumda Uygulanmaz?
Emax, çok fazla dayanıklı olmaması sebebiyle arka dişlerde ve köprü yapımında pek tercih edilmez. Arka bölgedeki diş kayıplarında ya da çürüklerinde daha kalıcı ve sağlam olan zirkonyum alt yapılı dişler tercih edilir.
ZİRKONYUM DİŞ

Zirkonyum, porselen kaplamaların alt yapı materyalidir. Doğal dişe yakın renkte, şeffaflıkta ve sağlamlıkta bir materyal olduğu için diş kaplamalarında hem estetik hem de dayanıklılığı bir arada sunan gelişmiş bir materyaldir. Zirkonyum kaplamalar Emax kaplamalar göre daha dayanıklıdır. Birden fazla diş eksikliğinin olduğu durumlarda Emax köprü protezleri kırılganlıkları nedeniyle uygulanamadığından zirkonyum köprü protezleri tercih edilir.
Metal allerjisi bulunan bireylerde metal destekli porselen kaplamaların kullanımı allerjik reaksiyonlara sebep olabilir, tam porselen (zirkonyum/Emax) kaplamalar bu sorunları da ortadan kaldırmaktadır.
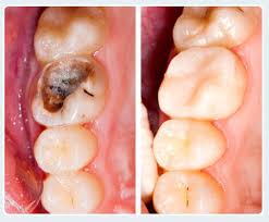
ESTETİK DOLGULAR
KOMPOZİT DOLGU (BEYAZ DOLGU)

Beyaz dolgu olarak da bilinen diş rengindeki dolgulardır. Kompozit reçine esaslı malzemeden yapılmışlardır. Doğru uygulandığında varlığı ayırt edilemeyecek kadar estetiktirler. Çürük, kırık ve aşınmış dişlerde dolgu malzemesi olarak, renklenmiş dişlerde görünümü düzeltmek için, dişler arasındaki boşlukları (diastema) kapatmak için kullanılırlar. Dişe kimyasal olarak bağlandıkları için dişin yapısını kırıklara karşı güçlendirirler. Yapılarının güçlendirilmesiyle ve estetik avantajlarından dolayı günümüzde amalgam (gri) dolguların yerini neredeyse tamamen almış durumdadırlar.
PORSELEN DOLGU (INLAY-ONLAY)
Inlay ve Onlay restorasyonlar, fazla madde kaybı olan, dolgu yapılması için yeterli diş dokusunun bulunmadığı durumlarda dişi tümden küçültüp kaplama yapmak yerine tercih edilen dişin bütünlüğünü koruyucu tedavi yöntemleridir. Inlay uygulaması, dişin tepeciklerinin (tüberküllerin) aralarında yer almaktadır. Onlay uygulaması ise bir ya da birden fazla tepeciğin üzerini aynı anda örtmektedir. Dişle aynı sertlikte olan bu porselen dolgular, ısırma kuvvetlerinden oluşan kırılmaları önler ve dişin eskisi kadar sağlıklı olmasını sağlar. Ayrıca diş renginde oldukları için estetik ve doğaldırlar.
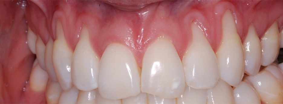
GÜLÜŞ TASARIMI

Gülüş tasarımı; kişiye özel olarak yapılan fotoğraf çekimleriyle hastanın yaşı, cinsiyeti, yüz şekli, dudak kalınlığı, dudak mesafesi, dişlerin kapanış ilişkisi ve diş eti görünürlüğü gibi kriterlerin birlikte değerlendirilmesiyle yeni bir estetik gülüş dizayn edilmesidir.
Gülümsemek; sosyal iletişimde çok güçlü bir faktördür. Güzel ve estetik bir gülüş daha özgüvenli olmanızı ve güçlü iletişim kurmanızı sağlar. Son yıllarda hastaların artan estetik beklentisiyle birlikte gülüş tasarımı çalışmaları yaygınlaşmaktadır.
Gülüş Tasarımı Nasıl Yapılır?
İstediğimiz gülüşü porselen lamine, emax ve zirkonyum kaplamalar, estetik kompozit dolgular ve beyazlatma işlemiyle elde edebiliriz. Gülüş tasarımında hastanın beklentisini anlamak çok önemlidir. İşleme başlamadan önce hastadan alınan fotoğraflar ve hazırlanan modeller üzerinde detaylı incelemeler yapılır. Her hastanın estetik gereksinimleri farklı olacağından yapılacak olan işlemler kişiye özel olmalıdır. Estetik bir gülüş için; dişler ve dişlerle bütünlük oluşturan çevre dokular birlikte değerlendirilip ele alınır. Tasarımı etkileyecek olan faktörler arasında hastanın yüz şekli, yaşı, cinsiyeti, diş eti seviyesi, dudak mesafesi ve kalınlığı, kapanış ilişkileri sayılabilir. İdeal estetiği yakalamak için öncelikle diş etinin sağlıklı olması gerekir. İltihaplı, kanamalı diş eti varlığında yapılan gülüş tasarımının estetik görünmesi mümkün değildir. Bu tür durumlarda öncelikle diş eti tedavi edilir. Gülme hattının yüksek olduğu vakalarda diş eti seviyelenir. Bu işlemler pembe estetik olarak adlandırılır. Gerekli düzenlemeler yapıldıktan sonra dişlerin tasarımına yani beyaz estetik kısmına geçilir.
Pembe Estetik Nedir?
Bazı insanlarda Diş eti çok görünür ve dişler kısadır bu da kişinin gülüşünü olumsuz yönde etkiler.Estetik gülüş yalnızca beyaz ve düzgün dişler ile sağlanamadığından dolayı bu dişlere uyumlu diş etinin varlığı da gereklidir. Diş etlerinde yapılan estetik uygulamalara pembe estetik denilmektedir. Pembe estetikte diş etleri özel bir lazer veya cerrahi yöntemi ile yukarı doğru çekilerek daha çekici bir gülüş kazandırılabilir. Estetik gülüş yalnızca beyaz ve düzgün dişler ile sağlanamadığından dolayı bu dişlere uyumlu diş etinin varlığı da gereklidir. Diş estetiğini tanımlayan öğeler diş etlerinin rengi, diş etinin diş ile olan seviyesi ve diş etlerinin sağlıklı olmasıdır. Kliniğimizde lazer desteği ile gerekli diş eti tedavileri ve düzenlemeleri yapılmaktadır.
DİŞ BEYAZLATMA

Diş beyazlatma; diş taşi (tartar) ve plak temizliğinden sonra peroksit bazlı kimyasallar uygulayarak dişin orijinal renk tonunun birkaç ton açıldığı ağartma işlemidir.
Dişler Neden Renklenir?
Çocukluk döneminde dişlerin oluşumları esnasında meydana gelen yapısal bozukluklar, bebeklik döneminde veya anne karnındayken maruz kalınan bazı antibiyotikler, günlük yaşamda tüketilen yiyecek ve içecekler (sigara, çay ve kahve gibi boyayıcı maddeler) ve içilen sulardaki fazla flor miktarı dişlerde renklenmeye neden olabilir.
Diş Beyazlatma Yöntemleri Nelerdir?
1.Klinik ortamında gerçekleştirilen Ofis tipi beyazlatma; beyazlatıcı jel ve ışıktan oluşan, 20şer dakikalık seanslarla uygulanan, diş rengini vakaya göre 3-4 ton açabilen hızlı, güvenilir ve etkili bir yöntemdir.

2.Evde diş beyazlatma; ağızdan alınan basit bir ölçü ile kişiye özel hazırlanan şeffaf plakların içine jeller konularak yapılan beyazlatma işlemidir. Kullanım ihtiyacı kişiye göre değişmek suretiyle ortalama 2-4 haftada tedavi tamamlanır. Günde 5-6 saat takılması gereklidir.

Diş Beyazlatma İşlemine Engel Durumlar Nelerdir?
Eğer ağız içerisinde ilerlemiş çürükler ve diş eti hastalıkları varsa onların tedavileri yapıldıktan sonra beyazlatma işlemi uygulanmalıdır. Bunun için beyazlatma öncesi diş hekimi muayenesi şarttır. Bunun dışında büyüme ve gelişimini tamamlamamış kişilere, gebelere ve emziren annelere diş beyazlatma işleminin uygulanması önerilmez.
Diş Beyazlatmanın Yan Etkileri Nelerdir?
Bütün beyazlatma jelleri dişlerde az ya da çok hassasiyete sebep olur. Soğuk-sıcak içeceklere ve havaya karşı oluşan bu hassasiyet kişilere rahatsızlık verebilir. Bu, uygulamanın normal ve beklenen bir yan etkisidir. Hassasiyet 24-48 saat içinde geçmezse beyazlatıcı kullanımının kesilmesi gerekebilir veya size önereceğimiz tavsiyelere uymanız yeterli olacaktır.
Beyazlatma Sonrası Nelere Dikkat Edilmeli?
Diş Beyazlatma uygulaması sonrasında özellikle ilk 10 gün sigara, çay, kahve, kırmızı şarap, çikolata, meyve suyu gibi renklendirici gıda ürünleri ve içerisinde aşındırıcı özellikler barındıran diş macunu veya diş tozlarının kullanılmaması gerekmektedir.
Dişer Beyazlığını Ne Kadar Süre Korur?
Diş Beyazlatma tedavisi sonrasında hastanın yeme içme alışkanlıkları, sigara tüketimi ve diş fırçalama alışkanlığı gibi değişkenlere bağlı olarak dişlerin beyaz kalma süresi de farklılaşmaktadır. Ortalama olarak 6ay-2yıl arasında beyazlığını sürdürür.
Devital Beyazlatma Nedir?
Kanal tedavisi sonrası canlılığını yitirmiş, renk değiştirmiş dişlere içten beyazlatma jelleri uygulanarak yapılan beyazlatma işlemidir. Jeller dişin içerisine yerleştirildikten yaklaşık 3-5 gün sonra çok başarılı sonuçlar alınmakta, dişler eski canlı rengine dönmektedir.
HAREKETLİ PROTEZLER

Sabit protezin uygulanamadığı birden fazla diş eksikliğinin tedavisinde kullanılan, hastanın isteği zaman takıp çıkarabildiği genelde akrilik dişlerden oluşan apareylerdir. Günümüzde neredeyse her yaşta rahatlıkla uygulanabilen ve çok başarılı sonuçlar alınan implant tedavisi seçeneği ile hareketli protezlere duyulan ihtiyaç azalmıştır
Çeşitli hareketli protez:
Klasik parsiyel protezler:
Çengelli (kancalı) protez olarak bilinirler. Tutuculuğunu ağızda kalan dişlere tutunan kroşe (çengel) ile sağlayan hasta tarafından rahatlıkla takılıp çıkarılabilen apareylerdir.
Hassas bağlantılı protezler:
Tutuculuğunu ağızda kalan doğal dişlere yapılan porselen kaplamalardan alan kroşesiz (çengelsiz) hareketli protezlerdir.
Tam protezler:
Takma (takım) diş olarak bilinirler. Doğal dişlerin tamamının eksik olduğu hastalara uygulanan takıp çıkarılabilen apereylerdir.
İmmediat protezler:
İmplant tedavisi uygulanacak olan veya cerrahi işlem sonrası hastalara hemen yapılan geçici hareketli protezlerdir.
Protezler İlk Takıldığında Nasıl Problemlerle Karşılaşabilirim?
İlk takıldığında yemek yemek, konuşmak, protezi ağızda tutmak ve çiğnemek gibi fonksiyonlarda problem yaşanabilir zaman geçtikçe ve proteze alıştıkça bu problem azalır ve tamamen ortadan kalkar. Yemeklerden sonra protez çıkarılarak ağızdaki dişler diş fırçası ve diş macunuyla temizlenmelidir.
Hareketli Protezlerin Bakımı Nasıl Yapılır?
Hareketli protezler, yemeklerde sonra ayrı bir diş fırçası ve sıvı sabun ile temizlenmelidir. Ağız dışında kaldığı sürede temiz içme suyu içerisinde bırakılmalıdır. Bekleme suyunun içerisine herhangi bir kimyasal eklenmemeli, haftada bir kez temizleme tabletleri kullanılmalıdır.
İMPLANT

Diş implantları ağızda eksik olan dişlerin yerine konması amacıyla, genellikle titanyum veya titanyum bileşiklerinden hazırlanan yapay diş kökleridir. Kaybedilmiş dişin yerine implant ile yeni diş yapılması çevre dişlerin, mevcut kemiğin, dişetinin kısacası tüm çiğneme sisteminin sağlığı ve fonksiyonu için önemlidir.
İmplant uygulamasının sağladığı yararlar:
-İmplant uygulaması ile diğer dişler kesim yapılmadan korunmuş olur.
-Çevredeki dişlerin kayıp diş boşluğuna kayması ile dişlerdeki kapanış bozuklukları da önlenmiş olur.
-Diş çekimi sonrası oluşan boşlukta zamanla meydana gelen kemik kaybı implant yapıldığında engellenir.
Herkese İmplant Uygulanabilir mi?
İmplantın yerleştirilebileceği kalınlıkta, yükseklikte ve kalitede kemiği olan herkese sistemik sağlık durumu değerlendirilerek implant yapılabilir. Cerrahi işleme engel sistemik hastalık durumlarında ilgili hekimle konsültasyon yapılarak işleme karar verilir. Bazı kişilerde kalıtımsal olarak çok ince/az kemik olabilir. Bazı kişilerde ise diş ve dişeti iltahapları çevrelerindeki kemik dokusunun erimesine ve azalmasına sebep olabilir. Böyle durumlarda implant uygulamasından önce kemik oluşturmaya yönelik işlemler yapılması gerekmektedir.
İmplant Uygulaması Nasıl Yapılır?
İmplant uygulaması ağrısız bir uygulamadır. İşlemden önce detaylı muayene yapılır, röntgen filmleri alınarak implantların yerleşeceği bölgeler planlanır. İşlem sırasında lokal anestezi ile bölge uyuşturulur, implant yerleştirilecek kemikte bir yuva hazırlanır ve implant yerleştirilir. İmplant yerleştirildikten sonra, iyileşme döneminde implant üzerinde kalacak olan vidalar yerleştirilir ve iyileşme dönemi beklenir. Diş çekimi yapılan hastalarda bazı durumlarda çekim yapıldığı seansta implant yerleştirilebilmekte (immediat implant) bazı durumlarda beklemek gerekmektedir.
İmplant Sonrası Diş Yapımı İçin Ne Kadar Beklemek Gerekir?
Diş implantlarının çiğnemeyle oluşan basınçlar karşısında sağlıklı olarak kalabilmesi için, çene kemiği ile tam olarak kaynaşması(ossteointegrasyon) gereklidir. Bu süre operasyonun türü, bölgesi, hastanın yaşı ve sağlık durumuna göre değişiklik gösterir. Operasyondan sonra kalıcı protezlerin yapımı için en az 5 hafta, en fazla 3 ay gibi bir süre gereklidir. Kemik yetersizliğinde yeni kemik oluşturulmuş bölgelere yapılan implantlarda bekleme süresi 6 aya kadar uzayabilir. Bu süre sonunda ölçü alınır ve planlanan protez yapılır. Bazı durumlarda implantların üzerine dişler hemen takılabilir.
İmplant uygulaması çok büyük bir bölgeyi ilgilendirmiyorsa genellikle ertesi gün işe gidebilir, günlük yaşantınıza dönebilirsiniz.
İmplantların Ömrü Ne Kadardır?
Hasta ağzına yerleştirilmiş bir implantın kullanım süresini belirleyen en önemli faktör ağız bakımına gösterdiği özendir. Tüm hastalar gibi implant taşıyan hastalar da mutlaka 6 ayda bir diş hekimine başvurmalı ve diş temizliği yaptırmalıdır. Bu kontroller sırasında bir sorun tespit edilirse erken müdahale edilerek sorunların ilerlemesi de engellenebilir. Doğru ağız bakımı ve kontrollerle uzun yıllar kullanabileceğiniz bir tedavi şeklidir.
KANAL TEDAVİSİ

İlerlemiş çürükler nedeniyle dokunun hasarlanması ve/veya iltihaplanması durumunda, dişin özünün (pulpa) uzaklaştırılıp, kök kanalının şekillendirilmesi, temizlenmesi ve ardından kanalın dolgu maddeleriyle doldurulması işlemine kanal tedavisi adı verilmektedir. Kanal tedavisine erken başlamak, dişi kurtarmak açısından önemlidir. Ağrıyan diş uzun süre ihmal edildiğinde, hem çevredeki dokulara enfeksiyon yayılır ve diş kaybedilir.
Kliniğimizde gerekli durumlarda kanal tedavisinin başarısını arttıran lazer ile kanal içi dezenfeksiyon yapılmaktadır.
Kanal tedavisi kaç seans sürer?
Kanal tedavisi dişte oluşan hasara bağlı olarak tek seansta ya da iki seansta gerçekleşir. Dişte bulunan enfeksiyon çok yaygınsa kanal tedavisi üç seans gerektirebilir.
Kanal tedavisi sonrası nelere dikkat edilmelidir?
- Kanal tedavisi ilk seansta bitmezse, tedavi bitinceye kadar ilgili dişi kullanmaktan kaçınılmalıdır.
- Bir iki gün boyunca hassasiyet olabileceğinden aşırı sıcak ve soğuk içeceklerden kaçınmalı ve o bölgede sert gıdalar çiğnenmemelidir.
- Düzenli diş fırçalama, diş ipi ve antiseptik bir gargara kullanma gibi genel bakım kurallarına uyulmalıdır
DİŞ ETİ TEDAVİLERİ

Diş Eti İltihabı Nedir?
Diş eti iltihabı bakteri plağının dişlerin etrafındaki dokuların üzerinde birikmesinden ileri gelen bir erken evre diş eti hastalığıdır. Bakteri içeren, doğal olarak oluşan biyolojik bir tabaka olan plak her gün fırçalama yoluyla giderilmezse diş eti iltihabına neden olabilir. Tedavi edilmezse kronikleşerek periodontitis, diş eti çekilmesi ve kronik ağız kokusuna neden olabilir.
Diş Eti İltihabı Belirtileri Nelerdir?
Diş eti hastalığı ağrısız olabilir, bu nedenle aşağıdaki belirtilere dikkat etmek gerekir:
- Fırçalama ya da diş ipi ile temizlik sırasında kolayca kanayan diş etleri
- Şişmiş, kırmızılaşmış ya da hassaslaşmış diş etleri
- Çekilmiş ya da dişten uzaklaşmış diş etleri
- İnatçı ağız kokusu ya da ağızda kötü tat
- Sallanan dişler
- Dişlerin dizilişinde bir farklılık
- Kısmi protezin (parsiyel protez) ağıza oturmasında farklılık
- Diş ve diş etleri etrafında gözle görülür iltihap sıvısı
- Soğuk ya da sıcağa karşı hassasiyet
Diş Eti İltihabı Tedavisi Nasıl Uygulanır?
Enfeksiyona sebep olan mikrobiyal plak, diş taşı ve diş taşının tutunduğu kök yüzeyi özel aletler, bazı solüsyonlar ve lazer desteği ile temizlenir. Tadavinin başarısı ve sonucun sürekliliği için hastaların da ağız bakımı kurallarına uyarak tedavi sürecine yardımcı olması gerekmektedir.
Gerekli durumlarda cerrahi işlemlere başvurulabilir.
DİŞ ETİ ÇEKİLMESİ

Diş Etleri Neden Çekilir?
- Periodontal hastalıklar: Bunlar diş eti dokusunu ve dişlerinizi yerinde tutan kemiği tahrip eden bakteriyel diş eti enfeksiyonlarıdır. Diş eti hastalığı, diş eti çekilmesinin ana nedenidir.
- Genetik etkiler
- Yanlış ve sert diş fırçalama
- Yetersiz diş bakımı yapmak
- Hormonal değişiklikler: Ergenlik, hamilelik, emzirme, menopoz gibi olaylar diş etlerinin daha hassas olmasına neden olabilir. Bu durumlarda diş eti çekilmesi daha sık gözlenmektedir.
- Tütün ürünleri kullanmak
- Dişleri gıcırdatmak ve sıkmak dişlere fazla yük vererek diş eti çekilmesine neden olabilir
- Çarpık dişler
- Dudak ya da dile piercing yaptırmak
Diş Eti Çekilmesi Tedavisi Nasıl Yapılır?
Hafif diş eti çekilmesi tedavisi, etkilenen bölgedeki plak ve tartarın özel aletler ve lazer ile temizlenmesiyle yapılır. Böylece yüzey düzgünleştirilerek bakterilerin tutunması zorlaşır. Gerekirse antibiyotik de reçete edilebilir.
Diş eti çekilmesinin fazla olduğu durumlarda hasarı onarmak için diş eti ameliyatı gerekebilir.
Türkçe
İngilizce
Almanca
Fransızca
Rusça
İspanyolca
Arapça
Diş Estetiği Yorumları
Henüz yorum yapılmamış.
Yorum Yap